Saturday, July 16, 2011

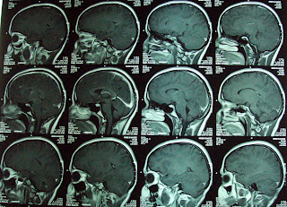
Ependymoma, Complete Resolution at 8 month follow up.

This 17 years old lady presented with with headache& vomiting since 6 months, ataxia,diplopia,diminished vision since 2 months.On MRI there was large
Post. fossa mass and hydrocephalus. She was operated for Rt.V.P.Shunt and tumor
was debulked. Histopathology was consistent with Ependymoma.

Gamma knife Radiosurgery done for residual tumor. 31 cc volume treated with 12 Gy at 50% isodose line.


Follow up MRI at 8 months showed complete disappearance
of the residual tumor as can be seen in following images.