Showing posts with label Acoustic Schwannoma. Show all posts
Showing posts with label Acoustic Schwannoma. Show all posts

Saturday, July 23, 2011

Acoustic Schwannoma Treatment.

Acoustic Schwannoma 2yrs. Follow Up. after GKRS.






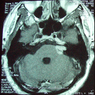
This 32 years old gentleman from Lahore was a diagnosed case of left Acoustic Schwannoma.He presented with progressive left hearing loss since 10th June 09, left hemi facial numbness, mild headache , loss of taste and occasional imbalance since 20 days. Clinical examination revealed left hemi facial hypoesthesia and poor corneal reflex. MRI shows heterogeneously enhancing mass in left CPA. He was treated with marginal dose of 12.5 Gy at 50% isodose line to the target volume of 9.0 cc. Multiple isocenters with 14,  8 and 4 mm collimators were used in APS mode. He was discharged on tapering doses of Dexamethasone and advised for follow up images after 6 months.

F.up at one year shows 80% reduction in Tumor.


F.Up at 2 yrs. Shows 90 % reduction in tumor.