This 24 years old lady presented with h/o vertigo since 10 years,
bilateral tinnitus more on right side since 2 years, headache since one year. She had loss of
right gag and palatal reflexes, atrophied tongue on right side with fasciculation
and right deviation.
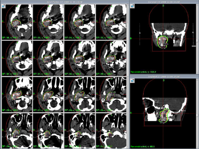
.Patient was treated with marginal dose of 14 Gy
with 43% isodose line was prescribed for the target volume 20.3 cc; multiple
iso centers with 18, 14 and 8 mm collimators were used in APS and trunnion mode.
 |
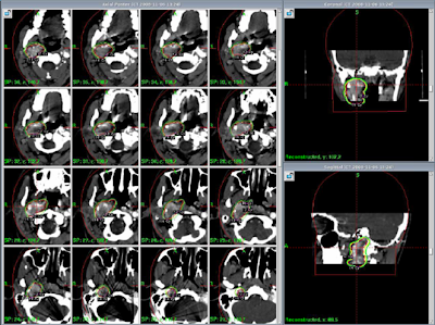
Pre Gamma Knife radiosurgery. Glomus jugulare Tumor. Volume 20.3 cc. |
 |
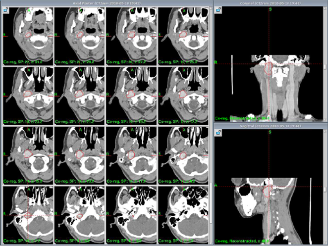
Follow up CT images Obtained 18 months after GKRS, showing tumor volume
5.2 cm3.
There is remarkable clinical improvement
especially in tinnitus and hoarseness.
|