Showing posts with label craniopharyngioma. Show all posts
Showing posts with label craniopharyngioma. Show all posts

Thursday, August 18, 2011

Craniopharyngioma, complete resolution at one year follow up.





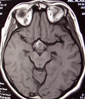
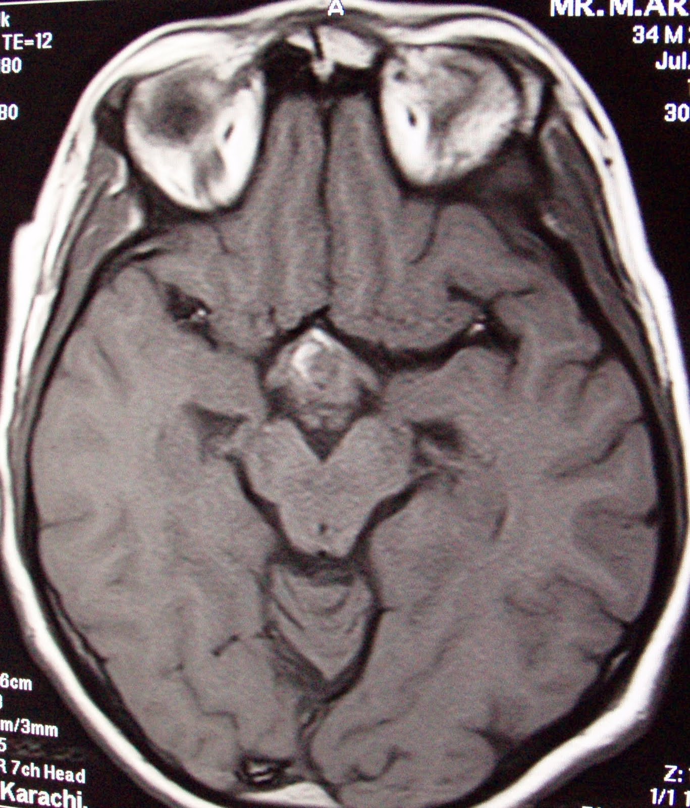
This 32 years old male is a diagnosed case of Craniopharyngioma with the diminished vision more on left side, headache and  a single episode of generalized fit since 2 and half years. Under went right frontal craniotomy on 2nd July 2007. MRI scan and CT scans showed residual/recurrent Craniopharyngioma. Patient was treated with 12 GY at 50% isodose line,  for the target volume 7.1 cc, multiple isocenters with 4 and 8mm collimators were used in APS mode.
Hostgator promotional code

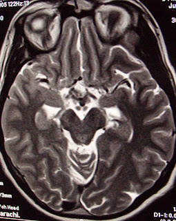
F.up images after one year showing complete resolution of 
craniopharyngioma, clinically patient has normal vision and has no defecits.
< a href='http://www.ablogin.com/' > A Blogin Blog Directory< /a >