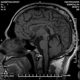
This is a young man of 26 years with c/o headache vomiting and blurred vision.
MR imaging showed an enhancing mass in the pineal region and obstructive hydrocephalus.
MR Specrtroscopy revealed alow NAA and high choline.
V.P shunt was placed and he was treated with Gamma Knife.It was a single day treatment as usual and patient was discharged next day.
At 6 months he is back to his normal life style and the Follow up MRI shows 90% resolution of the said tumor. Now at 2 years follow Pt. is fine with consistent resolution.
 |
| Resolution at 6 Month. |
 |
| Resolution at 6 Month.
|
 |
| Further Resolution at one year F.up.
|
 |
| Further Resolution at one year F.up.
|
 |
| Consistent Resolution at 2 years follow up. |