Friday, December 2, 2011
Monday, September 26, 2011
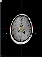
Cavernous sinus hemangioma, total resolution at 6 months.
Twenty five year old lady with restricted Rt.eye movements towards nasal side,
Drooping of rt. eyelid and mid dilated pupil.
MRI showed 2.7+2.9+3.4 cm homogenously enhancing solid mass just above
rt. Cavernous sinus in right side of supra sellar cistern abutting anteromedial
Surface of rt. Temporal lobe, undersurface of thalamus and anterior portion of
right temporal lobe, undersurface of thalamus and anterior portion of rt. half of
midbrain, encasing more than 70% of circumference of top of basilar artery,
causing mild mass effect on pituitary stalk and optic chiasm on rt. Side.
6 month post GKRS
12 Gy at 50 % isodose line.
No Ptosis
Still has devation of rt. eyeball.
Thursday, August 18, 2011
Craniopharyngioma, complete resolution at one year follow up.
This 32 years old male is a diagnosed case of Craniopharyngioma with the diminished vision more on left side, headache and a single episode of generalized fit since 2 and half years. Under went right frontal craniotomy on 2nd July 2007. MRI scan and CT scans showed residual/recurrent Craniopharyngioma. Patient was treated with 12 GY at 50% isodose line, for the target volume 7.1 cc, multiple isocenters with 4 and 8mm collimators were used in APS mode.
Hostgator promotional codeF.up images after one year showing complete resolution of craniopharyngioma, clinically patient has normal vision and has no defecits. |
Wednesday, August 10, 2011
Left Parietal AVM, complete obliteration at 2 years.
This 8 yrs old girl with Rt hemiparesis, had Left parietal AVM. She was treated with 16 Gy at 50% isodose line for a vol. of 15.1cc. At 2 years there is complete obliteration of AVM and child has no neurodefecits.
Thursday, July 28, 2011
Pineal Region Tumor, resolution with excellent clinical improvement,F.up at 6m and one year.

This is a young man of 26 years who came to us from Afghanistan with c/o headache vomiting and blurred vision.
MR imaging showed an enhancing mass in the pineal region and obstructive hydrocephalus.MR Specrtroscopy revealed alow NAA and high choline.
V.P shunt was placed and he was treated with Gamma Knife.It was a single day treatment as usual and patient was discharged next day.At 6 months he is back to his normal life style and the Follow up MRI shows 90% resolution of the said tumor.
![]() |
| 90% resolution at 6 month Follow up. |
![]() |
| At 6 months |
![]() |
| Further Resolution at one year F.up. |
![]() |
| One year |
![]() |
| One year |
Saturday, July 23, 2011
Ependymoma,complete resolution.
Case summary:
This, 26 years nice man from Karachi had undergone insertion of VP shunt on right side on November 22, 2010 on radio diagnosis of heterogeneous enhancing solid cum cystic mass in posterior fossa in fourth ventricle causing hydrocephalus. This was diagnosed when patient had presented with severe headache on and off associated with vomiting worst since last month and blurred vision since one month.
On referral, he had presented some improvement in headache and vomiting and significant improvement in blurring of vision. Clinical examination had revealed no obvious neurologic deficit. MRI brain spectroscopy had revealed markedly elevated Choline levels up to 399. Patient has referred us for the management with GKSRS. Risk of GKSRS explained all in Urdu along with requirement of strict follow up. These agreed upon wished to proceed. He had treatment with following prescription,
Target | Location | Prescription | Volume |
A | Ependymoma. | 12Gy @ 50% | 18.6 cm³ |
Multiple isocenters with 18, 14 & 8 mm collimator used in APS mode. He had discharged on tapering doses of Dexamethasone and advised follow up after 3 months
Oligodendroglioma, Anaplastic, WHO grade III. Good Control.
Acoustic Schwannoma 2yrs. Follow Up. after GKRS.
This 32 years old gentleman from Lahore was a diagnosed case of left Acoustic Schwannoma.He presented with progressive left hearing loss since 10th June 09, left hemi facial numbness, mild headache , loss of taste and occasional imbalance since 20 days. Clinical examination revealed left hemi facial hypoesthesia and poor corneal reflex. MRI shows heterogeneously enhancing mass in left CPA. He was treated with marginal dose of 12.5 Gy at 50% isodose line to the target volume of 9.0 cc. Multiple isocenters with 14, 8 and 4 mm collimators were used in APS mode. He was discharged on tapering doses of Dexamethasone and advised for follow up images after 6 months. |
F.up at one year shows 80% reduction in Tumor. |
| F.Up at 2 yrs. Shows 90 % reduction in tumor. |
Saturday, July 16, 2011
Ependymoma, Complete Resolution at 8 month follow up.
This 17 years old lady presented with with headache& vomiting since 6 months, ataxia,diplopia,diminished vision since 2 months.On MRI there was large
Post. fossa mass and hydrocephalus. She was operated for Rt.V.P.Shunt and tumor
was debulked. Histopathology was consistent with Ependymoma.
Gamma knife Radiosurgery done for residual tumor. 31 cc volume treated with 12 Gy at 50% isodose line.
Follow up MRI at 8 months showed complete disappearance
of the residual tumor as can be seen in following images.
Subscribe to:
Comments (Atom)
















