Monday, June 5, 2023
Gamma Knife Radiosurgery for Hypothalamic Glioma.
Case Summary:
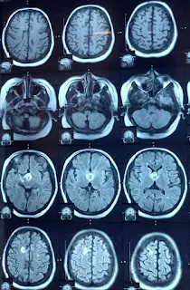
This 17 years female, underwent ETV and insertion of VP shunt in May 31,2022, presented with the complaints of headache with vomiting and blurring of vision for two months, symptoms improved after surgery. Patient has no previous history of radiation and chemotherapy. On clinical examination patient is oriented with time, place and person has no obvious deficits.MRI Brain with contrast April 16,2022 shows a complex supra Sellar mass reaching up to the foramen of Monro and causing asymmetrical dilation of lateral ventricle, suggestive of hypothalamic glioma.
Subscribe to:
Comments (Atom)


.jpeg)


