Friday, December 2, 2011

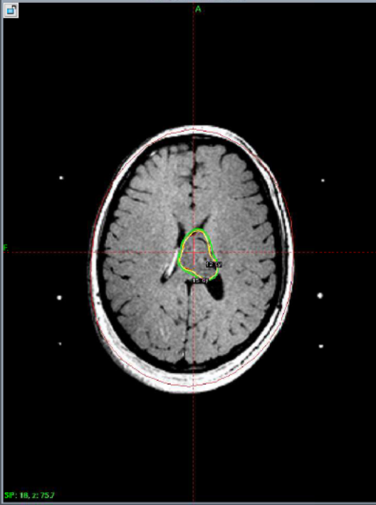
Ependymoma, Two years follow up.

17 yrs, Female.
with persistent headache.
Known case of ITP.
MRI showed
 non enhancing mass 
periventricular area 
more on Lt. side.
Burhole biopsy 
showed
Ependymoma Gr.II.

Complete resolution after one year of Gamma knife Treatment.

                       At GKRS                             After one year                              After Two years